Tillbaka
Trauma. Partiell Pulpektomi enligt Cvek
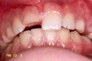
Michaela kom till kliniken 961202 med komplicerad
kronrotfraktur med pulpablotta på 11. Hon ramlade och slog sig tre dagar innan och tanden
har stått öppen sen dess.

961202
Jag har här borrat in ca 2 mm och preparerat med high-speed för att senare göra
direktkompositfyllning. Här kontrollerar jag att det verkligen finns plats för Calxyl,
fosfatcement och även för en del av fyllningen mellan pulpan och frakturlinjen. Jag
applicerar Calxyl ur kanyl mot pulpan som jag sedan med lätt tryck (pellet) ser till att
det är tätt, utan blödning. För att senare kunna göra en direktfyllning utan att
Calxylen försvinner gör jag en tunn fyllning mot Calxylen med Harvard fosfatcement.

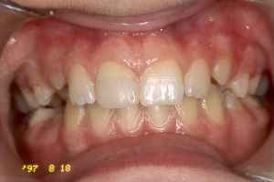
970818
Sekundärdentinbildning med tydliga gränser mellan Calxyl fosfatcement och komposit.

970818
Ca nio månader efter trauma. 11 Reagerar normalt på perk, kron, apikalömhet. Tanden
reagerar normalt vid vitalitetskontroll med kyla. Direktfyllning gjord med One-Step och
Ana-norm.
För diskussion om patientfallen hänvisar vi till ODIS
Öppet Forum.
Tdl
Mats Brontén |