Tillbaka
Removable Partial Denture, RPD, supported by parallel-shaped telescopic crowns
There are many possibilities in retaining a removable partial denture, RPD, to a
few refidual teeth and there are books filled with different types of attachments. In this
system telescopic crowns with parallel sides are used [figure 1].

figure 1 |
The inside of the outer
crowns in the RPD are casted with Ipsoclips®, Retentive Elements by S. Guglielmetti. The
Ipsoclip® is a little capsule with a ball that deflects and fits in a pit on the
telescopic crown [figure 2].
|

figure 2 |

figure 3 |
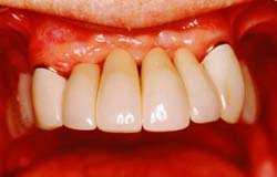
In this case
the Ipsoclips® are placed on the distal surfaces of the canines. To fulfil the demands of
precision, the frontal section is made in gold-alloy with acrylic facings [figure 3]. |
The posterior parts are
made in acrylic and with acrylic teeth on a framework of cobolt-chromium.
figure 4
|
The
indications are cases with two or more teeth in favourable positions and with sufficient
periodontal support. This type of RPD offers the patient a stable, reliable and estetic
prosthetic alternative [figure 4]. |
Responsible
Operators
Implant surgeon Nils Ravald DDS, PhD Simon
Dahlgren, DDS, Specialist in Prosthodontics Specialist Center for Oral Rehabilitation,
Linköping, Sweden |
Simon
Dahlgren |
Skaffa dig eget Domännamn. |